Diş apsesine bitkisel olarak ne tür çözümler önerilir?
Diş apsesi, ağızda iltihaplı bir durum olup genellikle bakteriyel enfeksiyonlardan kaynaklanır. Belirtileri arasında ağrı ve ateş yer alır. Bu yazıda, diş apsesinin nedenleri, belirtileri ve bitkisel çözümlerle ilgili önemli bilgiler sunulmaktadır. Tedavi için profesyonel yardım almak esastır.
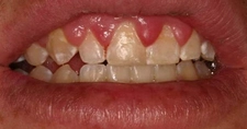
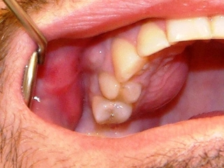
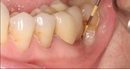
Di̇ş Apsesi: Tanım ve NedenleriDi̇ş apsesi, ağızda bulunan diş köklerinin etrafında meydana gelen iltihaplı bir durumdur. Genellikle bakteriyel enfeksiyonlar sonucunda oluşur ve diş çürüğü, diş eti hastalıkları veya diş travması gibi çeşitli nedenlerle tetiklenebilir. Apsenin belirtileri arasında ağrı, şişlik, ateş ve ağızda kötü bir tat yer alır. Bu durum, diş hekimleri tarafından acil müdahale gerektiren bir problem olarak değerlendirilir. Bitkisel Çözümlerin ÖnemiBitkisel çözümlerin, diş apsesi gibi rahatsızlıkların tedavisinde yardımcı olabileceği düşünülmektedir. Ancak, bu çözümlerin yalnızca destekleyici bir rol oynayabileceği ve kesin tedavi için profesyonel tıbbi yardım alınması gerektiği unutulmamalıdır. Bitkisel çözümler, iltihaplanmayı azaltabilir, ağrıyı hafifletebilir ve genel ağız sağlığını iyileştirebilir. Önerilen Bitkisel ÇözümlerAşağıda, diş apsesi tedavisinde kullanılabilecek bazı bitkisel çözümler listelenmiştir:
Ek Bilgiler ve Dikkat Edilmesi GerekenlerBitkisel çözümler uygularken dikkat edilmesi gereken bazı noktalar şunlardır:
SonuçDiş apsesi, ciddi bir sağlık sorunu olabilir ve tedavi edilmesi gerekmektedir. Bitkisel çözümler, belirtileri hafifletmek ve genel ağız sağlığını iyileştirmek için kullanılabilir. Ancak, bu tür tedavi yöntemleri kesinlikle bir diş hekimi tarafından önerilen tedavi yöntemlerinin yerini almaz. Diş sağlığınızı korumak için düzenli diş kontrollerini ihmal etmemek önemlidir. |















































Diş apsesi yaşadığımda, belirtiler arasında ağrı ve şişlik beni oldukça rahatsız etmişti. Bu durumu nasıl atlatabileceğimi düşünürken, bitkisel çözümlerin de faydalı olabileceğini duydum. Özellikle çay ağacı yağı gibi antiseptik özelliklere sahip bitkilerin, bakterileri azaltmada etkili olabileceği fikri beni umutlandırdı. Ancak, bu çözümlerin yalnızca destekleyici bir rol oynadığını unutmamak gerekiyor. Acil durumda diş hekimine başvurmanın önemini de göz ardı etmemek gerek. Bitkisel çözümler uygularken alerjik reaksiyon riski ve dengeli beslenmenin gerekliliği hakkında bilgi sahibi olmak da önemli. Diş sağlığını korumak için düzenli kontrollerin yapılması gerektiği konusunda hemfikirim. Siz bu konuda başka neler önerirsiniz?
Azmi Bey, diş apsesi gerçekten zorlu bir durum ve yaşadığınız semptomların ne kadar rahatsız edici olduğunu anlıyorum. Bitkisel çözümler konusundaki araştırmanız ve hekime başvurmanın önemini vurgulamanız çok doğru. Bu konuda bazı ek önerilerim olacak:
Acil Diş Hekimi Müdahalesi
Apse vakalarında ilk 24-48 saat içinde diş hekimine gitmek çok kritik önem taşıyor. Hekim gerekli görürse antibiyotik tedavisi ve drenaj işlemi uygulayabilir.
Geçici Ağrı Yönetimi
Ilak tuzlu suyla gargara (günde 3-4 kez) ağız içi temizliğe destek olabilir. Reçetesiz ağrı kesiciler kısa süreli rahatlama sağlayabilir ancak mutlaka prospektüs bilgilerine uymalısınız.
Destekleyici Bitkisel Uygulamalar
Karanfil yağı (bir pamukla uygulayarak) lokal anestezik etki gösterebilir. Adaçayı demleyip soğuttuktan sonra gargara yapmak da anti-inflamatuar etkisiyle rahatlatabilir.
Önleyici Bakım
Apsenin tekrarlamaması için günde iki kez diş fırçalama, diş ipi kullanma ve dil temizliği rutin haline getirilmeli. Şekerli gıda tüketimini sınırlamak da koruyucu etki sağlar.
Unutmayın ki bitkisel çözümler sadece semptomları hafifletmeye yardımcı olur, kesin tedavi için diş hekiminin müdahalesi şarttır. Geçmiş olsun dileklerimi iletiyorum.